神経をとった歯のホワイトニング③【京都市 下京区 四条烏丸 歯科 歯医者 初岡歯科医院】

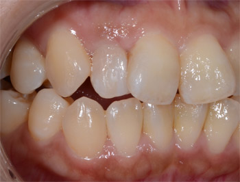
小さい前歯の歯の色を気にされておられた患者さんです。
この歯は神経をとっており、歯自体の変色と
詰めている白いプラスチック(コンポジットレジン)の
劣化が変色の原因です。
まず、神経をとった歯のホワイトニングを4回行い、
歯自体の色を、他の歯に近づけた後、
コンポジットレジンをやり替えました。

« コンポジットレジンで虫歯治療【京都市 下京区 四条烏丸 歯科 歯医者 初岡歯科医院】 | メイン | 神経をとった歯のホワイトニング④【京都市 下京区 四条烏丸 歯科 歯医者 初岡歯科医院】 »

小さい前歯の歯の色を気にされておられた患者さんです。
この歯は神経をとっており、歯自体の変色と
詰めている白いプラスチック(コンポジットレジン)の
劣化が変色の原因です。
まず、神経をとった歯のホワイトニングを4回行い、
歯自体の色を、他の歯に近づけた後、
コンポジットレジンをやり替えました。

このエントリーのトラックバックURL:
https://www.hatsuoka.com/cgi/mt/mt-tb.cgi/522
初岡歯科医院 初岡昌憲
http://www.hatsuoka.com/
当院は、京都市下京区烏丸四条にある、祖父、父、私と3代続く歯科医院です。一般歯科から小児・予防・歯周病・インプラト・入れ歯・審美歯科治療を中心とした一般歯科診療を行っています。
当医院の基本理念は、なるべく削らず抜かない、歯を保存する治療です。ていねいで痛みの少ない治療を心がけていますが、治療後の安定した状態を長持ちさせるためにも予防が大切だと考えています。患者さんとのコミュニケーションを大切にし、生涯にわたるお付き合いしていきたいと思っています。