神経をとった歯のホワイトニング【京都市 下京区 四条烏丸 歯科 歯医者 初岡歯科医院】
歯の神経を取ったり、歯を強く打ったりすると歯の中で出血が起こり、歯が黒っぽく変色することがあります。
この場合、歯の中に薬をいれて漂白(ホワイトニング)することによって、元の歯の色に戻すことができます。
この治療は保険外診療となり、変色具合によって治療回数は変わりますが、1回¥2,000で3回くらいの治療で白くなります。
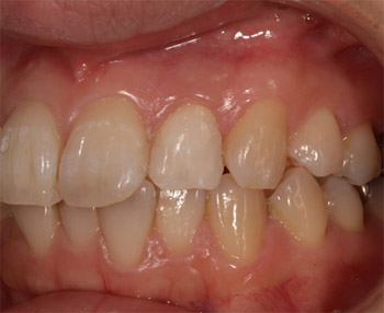
ホワイトニング前の写真

ホワイトニング終了時の写真

治療終了時の写真

« コンポジットレジン(前歯)【京都市 下京区 四条烏丸 歯科 歯医者 初岡歯科医院】 | メイン | 妊娠中に虫歯になってしまったら【京都市 下京区 四条烏丸 歯科 歯医者 初岡歯科医院】 »
歯の神経を取ったり、歯を強く打ったりすると歯の中で出血が起こり、歯が黒っぽく変色することがあります。
この場合、歯の中に薬をいれて漂白(ホワイトニング)することによって、元の歯の色に戻すことができます。
この治療は保険外診療となり、変色具合によって治療回数は変わりますが、1回¥2,000で3回くらいの治療で白くなります。
ホワイトニング前の写真

ホワイトニング終了時の写真

治療終了時の写真

このエントリーのトラックバックURL:
https://www.hatsuoka.com/cgi/mt/mt-tb.cgi/505
初岡歯科医院 初岡昌憲
http://www.hatsuoka.com/
当院は、京都市下京区烏丸四条にある、祖父、父、私と3代続く歯科医院です。一般歯科から小児・予防・歯周病・インプラト・入れ歯・審美歯科治療を中心とした一般歯科診療を行っています。
当医院の基本理念は、なるべく削らず抜かない、歯を保存する治療です。ていねいで痛みの少ない治療を心がけていますが、治療後の安定した状態を長持ちさせるためにも予防が大切だと考えています。患者さんとのコミュニケーションを大切にし、生涯にわたるお付き合いしていきたいと思っています。